
AJANSSPOR-HABER
Trendyol Süper Lig ekiplerinden Trabzonspor'da forma giyen ve Ziraat Türkiye Kupası'nda Başakşehir ile oynanan çeyrek final mücadelesinde sakatlanan Umut Güneş ve Paul Onuachu'nun son durumu belli oldu.
Son dakika haberleri. Ziraat Türkiye Kupası'nda Başakşehir ile oynanan maçta sakatlanan Paul Onuachu ve Umut Güneş'in son durumu belli oldu. Detaylar.

Trendyol Süper Lig ekiplerinden Trabzonspor'da forma giyen ve Ziraat Türkiye Kupası'nda Başakşehir ile oynanan çeyrek final mücadelesinde sakatlanan Umut Güneş ve Paul Onuachu'nun son durumu belli oldu.
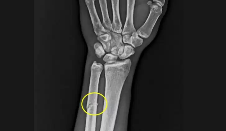
Trabzonspor Kulübü, Paul Onuachu'nun sol önkolda darbeye bağlı ayrışmamış kemik kırığı tespit edildiğini duyurdu.

Bordo-Mavili ekipten yapılan açıklamada, "Futbol A Takımımızın RAMS Başakşehir ile oynadığı karşılaşma esnasında sakatlanarak oyundan çıkan futbolcumuz Paul Onuachu’nun yapılan muayenesinde sol kasık bölgesinde kas (adduktor kas grubu) yaralanması ve sol önkolda darbeye bağlı ayrışmamış kemik (ulna) kırığı tespit edilmiştir. Oyuncumuzun tedavisine sağlık ekibimizce başlanılmıştır" denildi.

Öte yandan dün oynanan Başakşehir karşılaşmasında kafasına darbe alan Umut Güneş'in de çekilen tomografisinin temiz çıktıği öğrenildi.
Paul Onuachu bu sezon bordo-mavili takım ile 19 maça çıktı, 9 gol ve 3 asist kaydetti. Umut Güneş ise görev aldığı 16 maçta 1 asist ile oynadı.

Trabzonspor, Trendyol Süper Lig'in 28. haftasında deplasmanda Corendon Alanyaspor ile yapacağı maçın hazırlıklarına başladı.
Mehmet Ali Yılmaz Tesisleri'nde yapılan antrenmanda, Ziraat Türkiye Kupası çeyrek finalinde RAMS Başakşehir ile oynanan maçta forma giyen oyuncular yenileme çalışması yaptı. Diğer oyuncular ise teknik ısınma, koordinasyon ve 5'e 2 pas çalışmasının ardından dayanıklılık, şut idmanı gerçekleştirdi. Antrenman, çift kale maç ile sona erdi.
Trabzonspor'da oyuncular yarını izinli geçirecek.

Hesabınız yok mu?
Hesabınız var mı?
Saran Bilgi Sistemleri, A.Ş. (“AJANSSPOR”) tarafından, 6698 sayılı Kişisel Verilerin Korunması Kanunu ve ilgili mevzuat uyarınca,AJANSSPOR internet sitesi ajansspor.com (“Site”) ve AJANSSPOR mobil uygulamasında (“Uygulama”) yer alan Aydınlatma Metni kapsamında Veri Sorumlusu sıfatıyla, AJANSSPOR tarafından 6698 Sayılı Kişisel Verilerin Korunması Kanunu kapsamında veri sorumlusu sıfatıyla AJANSSPOR tarafından,
Kullanıcı adımın, e-posta adresimin; pazarlama satış bilgilerinin (anket, kampanya, promosyon çalışmasıyla elde edilen bilgiler), sunulan ürün ve hizmetlerin kullanışı sırasında elde edilen hesap hareketlerinin (favori sporlar, ligler takımlar, etkinlikler ve/veya spor taraftarlarını ilgilendiren konularla ilgili sağladığım bilgiler, takım tercihlerim, isteyerek paylaştığım veriler, yorumlar, görüntülediğim içerik türü, ne sıklıkla, hangi saatlerde görüntülediğime yönelik veriler);
Ajansspor’un ticari faaliyetlerini yerine getirmesi, iş birliğinin aldığı hizmetin sağlanması, platformlarda görüntülenen reklamların seçmesi ve yayınlaması, üçüncü tarafların (reklam sunucuları gibi) bunu yapmasına izin vermesi, tarafıma gösterilen reklamları ve tarafımın nasıl etkileşime geçtiğini raporlanmasına olanak sağlanması amacıyla Şirket topluluğuna, grup şirketlerine, Şirket hissedarlarına, birinci, ikinci, üçüncü yöneticilerine yurtiçinde olacak şekilde aktarılmasına,
Sunulan ürün ve hizmetlerin tarafımın beğeni, kullanım alışkanlıklarım ve ihtiyaçlarıma göre özelleştirilerek yine tarafıma önerilmesi amacıyla bağlantılı, sınırlı ve ölçülü olacak şekilde işlenmesine, yine işlenmesini gerektiren amaç çerçevesinde kaydedilmesine,
İstatistiki raporlama sisteminde veya reklam ve pazarlama (anket ve/veya promosyon) alanında kullanıcılarının genel eğilimlerini belirlenmesi, kişiselleştirilmiş içerik ve reklam olarak tarafınıza sunulması, hizmetlerle ilgili kalite ve standart denetimleri yapabilmek amacıyla bağlantılı, sınırlı ve ölçülü olacak şekilde işlenmesine, yine işlenmesini gerektiren amaç çerçevesinde kaydedilmesine,
Müşteri memnuniyetinin ölçülmesi ve artırılması, yeni hizmet ve ürünler ile ilgili görüş ve önerilerimi almak amacıyla bağlantılı, sınırlı ve ölçülü olacak şekilde işlenmesine, yine işlenmesini gerektiren amaç çerçevesinde kaydedilmesine,
İşlem güvenliği verilerinin (IP adresi bilgileri, internet sitesi/uygulama giriş çıkış bilgileri, standart web günlüğü bilgileri);
Ajansspor’un ticari faaliyetlerini yerine getirmesi, iş birliğinin aldığı hizmetin sağlanması, platformlarda görüntülenen reklamların seçmesi ve yayınlaması, üçüncü tarafların (reklam sunucuları gibi) bunu yapmasına izin vermesi, tarafıma gösterilen reklamları ve tarafımın nasıl etkileşime geçtiğini raporlanmasına olanak sağlanması amacıyla Şirket topluluğuna, grup şirketlerine, Şirket hissedarlarına, birinci, ikinci, üçüncü yöneticilerine yurtiçinde olacak şekilde aktarılmasına,
Sunulan ürün ve hizmetlerin tarafımın beğeni, kullanım alışkanlıklarım ve ihtiyaçlarıma göre özelleştirilerek yine tarafıma önerilmesi amacıyla bağlantılı, sınırlı ve ölçülü olacak şekilde işlenmesine, yine işlenmesini gerektiren amaç çerçevesinde kaydedilmesine,
İstatistiki raporlama sisteminde veya reklam ve pazarlama (anket ve/veya promosyon) alanında kullanıcılarının genel eğilimlerini belirlenmesi, kişiselleştirilmiş içerik ve reklam olarak tarafınıza sunulması, hizmetlerle ilgili kalite ve standart denetimleri yapabilmek amacıyla bağlantılı, sınırlı ve ölçülü olacak şekilde işlenmesine, yine işlenmesini gerektiren amaç çerçevesinde kaydedilmesine,
AJANSSPOR ile olan yazışma kayıtları gibi kişisel bilgilerin;
Müşteri memnuniyetinin ölçülmesi ve artırılması, yeni hizmet ve ürünler ile ilgili görüş ve önerilerimi almak amacıyla bağlantılı, sınırlı ve ölçülü olacak şekilde işlenmesine, yine işlenmesini gerektiren amaç çerçevesinde kaydedilmesine,
Ajansspor’un ticari faaliyetlerini yerine getirmesi, iş birliğinin aldığı hizmetin sağlanması, platformlarda görüntülenen reklamların seçmesi ve yayınlaması, üçüncü tarafların (reklam sunucuları gibi) bunu yapmasına izin vermesi, tarafıma gösterilen reklamları ve tarafımın nasıl etkileşime geçtiğini raporlanmasına olanak sağlanması amacıyla Şirket topluluğuna, grup şirketlerine, Şirket hissedarlarına, birinci, ikinci, üçüncü yöneticilerine yurtiçinde olacak şekilde aktarılmasına,
aydınlatılmış açık rızam ile onay veririm.
İşbu Ticari İleti Onay Metni ve İletişim İzni ile Arkadaş Radyo ve Televizyon Yayın Yapım ve Tanıtım A.Ş. (“AJANSSPOR”) tarafından sunulan ürün ve hizmetlere yönelik yenilikler, reklam, satış, pazarlama, kampanya, promosyon duyuruları hakkında bilgi sahibi olmak, ürün ve hizmetlere yönelik avantajlardan yararlanmak, kullanım deneyimini geliştirmek adına özelleştirilmiş bildirimlerin alınabilmesi, tarafıma haber ve bilgi amaçlı paylaşımların iletilebilmesi, daha iyi bir hizmet alabilmek için AJANSSPOR’un hizmet ve faaliyetleri ile ilgili olarak bildirim vasıtalarıyla tarafıma anlık bildirim ve e-mail şeklinde ticari elektronik ileti gönderilmesine ve haberleşme yapılmasına aydınlatılmış açık rızam ile onay veririm.
Arkadaş Radyo ve Televizyon Yayın Yapım ve Tanıtım A.Ş. - ÜYELİK SÖZLEŞMESİ
MADDE 1-TARAFLAR:
İşbu Üyelik Sözleşmesi ("Sözleşme" olarak anılacaktır);
Merkezi PTT Evleri Mah. Hacıosman Bayırı Cad. No:16, 34453, Sarıyer/İSTANBUL adresinde bulunan Arkadaş Radyo ve Televizyon Yayın Yapım ve Tanıtım A.Ş. ("AJANSSPOR" olarak anılacaktır ) ile, Üye" (aşağıda tanımlı) arasında aşağıdaki hüküm ve şartlar kapsamında akdedilmektedir. İşbu Sözleşme kapsamında AJANSSPOR ve Üye birlikte, “Taraflar” olarak anılacaktır.
MADDE 2-TANIMLAR
İşbu Sözleşme’de geçen tanımlardan;
2.1. Üye: İşbu Sözleşme'yi kabul ederek, AJANSSPOR tarafından AJANSSPOR Platformları’nda sunulan çeşitli özelliklerden, bir Kullanıcı Adı ve Şifre vasıtasıyla faydalanacak internet kullanıcısını ifade eder.
2.2. Kullanıcı Adı: Her bir AJANSSPOR Üyesi için farklı olacak şekilde, AJANSSPOR Platformları’na üyelik sırasında Üye tarafından belirlenen ayırt edici ismi ifade eder.
2.3 Şifre: Üyenin, AJANSSPOR Platformları’na üyelik sırasında belirleyeceği ve AJANSSPOR Platformları’ndaki Hesabı’na erişebilmesini sağlayan şifreyi ifade eder.
2.4. İçerik(ler): AJANSSPOR Platformları’nda yer alan her türlü haber, yazı, metin, makale, bilgi, fotoğraf, video, görüntü, simge, grafik, istatistik, canlı skor, logo, puan durumları, Üye İçerikleri dahil ancak bunlarla sınırlı olmamak kaydıyla; her türlü görsel-işitsel içeriği, 3. taraf firmalardan temin edilen ve Ajansspor tarafından işlenen verileri ifade eder.
2.5. AJANSSPOR Web Sitesi: Tüm hakları AJANSSPOR’a ait olan; mobil cihaz, tablet, bilgisayar, akıllı televizyon dahil ve bunlarla sınırlı olmaksızın internet/dijital iletim metodunu kullanan her türlü cihazdan ulaşılabilen ve İçerik’e erişim imkanı sunan https://www.ajansspor.com/ alan adı ve diğer alt alan adlarından erişilebilen web sitesini ifade eder.
2.6. AJANSSPOR Uygulaması: Tüm hakları AJANSSPOR’a ait olan; mobil cihaz, tablet, akıllı televizyon dahil ve bunlarla sınırlı olmaksızın internet/dijital iletim metodunu kullanan her türlü cihaza indirilmiş/yüklenmiş veya indirilmek/yüklenmek suretiyle İçerik’e erişim imkanı sunan “Ajansspor” veya ileride AJANSSPOR tarafından belirlenecek diğer isimli dijital uygulamayı ifade eder.
2.7. AJANSSPOR Platformları: AJANSSPOR Web Sitesi ve AJANSSPOR Uygulaması’nı ifade eder.
2.8. Ziyaretçi: AJANSSPOR Platformları’na Üye olmayan, ancak AJANSSPOR Platformları’nı ziyaret eden internet kullanıcısını ifade eder.
2.9. Hesap: Üye’nin, AJANSSPOR Platformları’nda sunulan çeşitli özelliklerden faydalanmak için Kullanıcı Adı ve Şifre ile giriş yapacağı oturumu ifade eder.
2.10. Kayıt Formu: Üye’nin, AJANSSPOR Platformları’na üye olurken kullanıcı adı ve e-posta adresini girerek doldurduğu formu ifade eder.
2.12. Kişisel Veriler: Kimliği belirli veya belirlenebilir gerçek kişiye ilişkin her türlü bilgiyi ifade eder.
2.13. Kişisel Verilerin İşlenmesi: Kişisel Veriler’in tamamen veya kısmen otomatik olan ya da herhangi bir veri kayıt sisteminin parçası olmak kaydıyla otomatik olmayan yollarla elde edilmesi, kaydedilmesi, depolanması, muhafaza edilmesi, değiştirilmesi, yeniden düzenlenmesi, açıklanması, aktarılması, devralınması, elde edilebilir hâle getirilmesi, sınıflandırılması ya da kullanılmasının engellenmesi gibi veriler üzerinde gerçekleştirilen her türlü işlemi ifade eder.
MADDE 3-SÖZLEŞME‘NİN AMAÇ VE KONUSU:
İşbu Sözleşme, Üye’nin AJANSSPOR tarafından AJANSSPOR Platformları’nda sunulan çeşitli özelliklerden yararlanmasını sağlamak amacı ile düzenlenmekte olup, anılan ilişki kapsamında Taraflar’ın hak ve yükümlülüklerini tespit etmektedir.
MADDE 4- SÖZLEŞME’NİN KURULMASI
Taraflar, Üye’nin Kullanıcı Adı ve Şifre ile AJANSSPOR Platformları’nda Hesap açıp, işbu Sözleşme’nin altında yer alan “Kabul Ediyorum’’/“Onaylıyorum” butonuna tıklaması ile birlikte bu Sözleşme’yi kabul etmiş olacağını, söz konusu kabul ile üyelik işleminin tamamlanacağını, Üye’nin kabul beyanının AJANSSPOR kayıtlarına geçmiş olacağını ve Sözleşme’nin bu anda kurularak yürürlüğe girmiş olacağını kabul beyan ve taahhüt ederler.
MADDE 5- İÇERİK
5.1. AJANSSPOR Platformları’ndaki İçerikler hem Ziyaretçi hem de Üye tarafından erişilebilir ve faydalanılabilir. AJANSSPOR Platformları’nda yer alan İçerikler’in veya yorumların favorilere eklenebilmesi, içeriklerin beğenilebilmesi, AJANSSPOR tarafından düzenlenecek anket, kampanya, yarışma ve oyunlara katılım hakkına sahip olunabilmesi, opsiyonel olarak takım bilgisi ve/veya seçilen ilgi alanlarına istinaden haber ve verilere, spor datalarına daha hızlı erişim sağlanması hem Ziyaretçi hem de Üye’ye sunulan hizmetlerdir.; Üye’nin AJANSSPOR Platformları’ndaki kullanım deneyimini geliştirmek adına özelleştirilmiş bildirimlerin gönderilebilmesi, reklam ve tanıtımların yapılabilmesi, tekliflerin sunulabilmesi ve İçerikler’e yorum eklenebilmesi ise yalnızca Üye’nin faydalanabileceği olanaklardır ve Üye bu olanaklardan sadece bu Sözleşme’nin koşullarına uygun olarak faydalanılabilir.
5.2. Söz konusu AJANSSPOR Platformları’nda bulunan İçerikler AJANSSPOR’un önceden yazılı olarak izni alınmadan kısmen veya tamamen kopya edilemez, dağıtılamaz, çoğaltılamaz, kullandırılamaz, değiştirilemez ve ileride kullanılmak üzere saklanamaz. Aksi halde; AJANSSPOR tarafından tüm hukuki ve cezai işlemleri başlatma ve taleplerde bulunma hakkı saklıdır. Tüm AJANSSPOR Platformları İçerikler’i münhasıran AJANSSPOR’un fikri ve sınai mülkiyetindedir. AJANSSPOR Platformları’nda yer alan İçerikler’in tüm hakları saklıdır.
5.3. AJANSSPOR Platformları ve İçerikler’in içeriğine, tasarımına ve yazılımına ilişkin tüm mali hakların izinsiz kullanımı, işleme, çoğaltma, yayma, temsil, kopyalama, işleme ve internet başta olmak üzere radyo-televizyon, uydu ve kablo gibi telli veya telsiz yayın yapan kuruluşlar vasıtasıyla veya dijital iletim de dahil, işaret, ses ve/veya görüntü nakline yarayan araçlar ve bunlarla sınırlı kalmamak kaydıyla her türlü araçla yayınlama ve umuma arz, ve bunlarla sınırlı olmamak üzere her türlü izinsiz kullanım ve/veya ifşa, AJANSSPOR’un fikri ve sınai mülkiyet hakkının ihlali anlamına gelecektir.
5.4. Üye, AJANSSPOR Platformları’nı kullanırken Türk Ceza Kanunu, Türk Ticaret Kanunu, Borçlar Kanunu, Fikir ve Sanat Eserleri Kanunu, Marka, Tasarım ve Patent Haklarının Korunması, Kişisel Verilerin Korunması Kanunu ile ilgili kanun hükmünde kararnameler ve yasal düzenlemeler, halihazırda yürürlükte olan ilgili her türlü mevzuat hükümleri, Uluslararası Sözleşmeler ile ileride yürürlüğe girecek olan mevzuata ve AJANSSPOR’un AJANSSPOR Uygulaması’na ilişkin olarak yayımlayacağı bildirimlere uymayı kabul eder. Bildirimlere ve yasalara aykırı kullanım sebebiyle doğabilecek hukuki, cezai ve mali her türlü sorumluluk Üye’ye aittir. AJANSSPOR’un bu sorumluluk nedeni ile uğrayacağı her türlü zarar için Üye’ye ferileri ile birlikte rücu hakkı saklıdır.
5.5. AJANSSPOR, Üye’yi, AJANSSPOR Platformları’ndaki mevcut olan İçerikler’in tek bir kopyasını görüntüleme ve buna erişme konusunda ticari olmayan, yalnızca kendi kişisel kullanımı için yetkilendirmektedir. AJANSSPOR Platformları ve İçerikler, herhangi bir ticari amaç için kullanılamaz. Üye, herhangi bir şekilde, AJANSSPOR’un ve AJANSSPOR Platformları’nın ticari unvanını, markasını, hizmet markasını, logosunu, alan adını ve diğer varlıklarını AJANSSPOR’un önceden yazılı izni olmadan kullanamaz.
5.6. Üye, AJANSSPOR’un AJANSSPOR Platformları kapsamında çeşitli özellikler sunuyor olmasının Üye’ye herhangi bir donanım ve/veya yazılım temini, kurulumu veya mevcut donanım ve/veya yazılımın düzgün çalışması konusunda bir taahhüt ya da garanti verdiği anlamına gelmediğini ve bu hususta gerekli donanım ve/veya yazılımsal gereklilikleri sağlamaktan doğan sorumluluğun tüm masrafları ve riski ile birlikte kendisine ait olduğunu kabul, beyan ve taahhüt eder. Üye, bu doğrultuda AJANSSPOR Platformları’nda Üye’ye sunulan özelliklerden faydalanabilmek için, mobil cihazının, bilgisayarının ve/veya kullandığı diğer cihazların, internet hizmetinin ve teknik donanımının gerekli minimum kriterleri karşıladığını, bu kriterlere uygun olmayan mobil cihaz, bilgisayar ve/veya diğer cihazların ve teknik donanım sebebiyle hizmetlerden faydalanamaması durumunda, AJANSSPOR’un herhangi bir sorumluluğunun olmadığını, bu sebeple herhangi bir nam altında AJANSSPOR’dan tazminat talep etmeyeceğini veya diğer herhangi bir talepte bulunmayacağını kabul, beyan ve taahhüt eder.
5.7. Üye; kendisi tarafından AJANSSPOR Platformları’nda üretilecek veya eklenecek yorum, alıntı vb gibi her türlü içeriğe (“Üye İçerikleri”), ilişkin 5846 sayılı Fikir ve Sanat Eserleri Kanunu’ndan (“FSEK”) kaynaklanan “işleme” (FSEK madde 21), “çoğaltma” (FSEK madde 22), “yayma” (FSEK madde 23), “temsil” (FSEK madde 24), “işaret, ses ve/veya görüntü nakline yarayan araçlarla umuma iletim” (FSEK madde 25) dahil ancak bunlarla sınırlı olmaksızın tüm mali manevi hakları ile mülkiyet haklarını bu hakları 3. kişilere devir haklarıyla birlikte, herhangi bir bedel talep edilmeksizin süre, yer, mecra ve muhteva açısından gayrimahdut olarak TAM RUHSAT şeklinde AJANSSPOR’a devretmektedir. İşbu taahhüt Sözleşme kapsamında tesis edilen Taraflar arasındaki diğer taahhütlerden bağımsız bir taahhüt olarak Sözleşme feshinden ve/veya sona ermesinden sonrada Taraflar arasındaki yürürlüğünü devam ettirecektir.
5.8. AJANSSPOR tarafından yayınlanan İçerikler ve yine Üye İçerikleri bilgilendirme amaçlı olup, olduğu gibi sunulmaktadır. AJANSSPOR söz konusu verilerin doğruluğu, tamlığı ve güvenilirliği ile ilgili herhangi bir sorumluluk ya da taahhüdü bulunmamaktadır. İşbu Sözleşme kapsamında ticari elverişlilik, belli bir amaca veya kullanıma uygunluk, tamlık veya doğruluğa ilişkin olarak açık veya zımni herhangi bir taahhütte bulunmamaktadır. AJANSSPOR Platformları’nda sağlanan haber içerikleri, spor dataları, canlı skorlar ver diğer her türlü İçerikler farklı kaynaklardan derlenmekte olup AJANSSPOR’un bunların doğruluğunu ve güncelliğini araştırma yükümlülüğü ve imkanı bulunmamaktadır. Üye, bu kapsamda AJANSSPOR Platformları’nda sağlanan İçerikler bakımından AJANSSPOR’un herhangi bir sorumluluğu olmadığını kabul ve beyan eder. AJANSSPOR Platformları’na Üye tarafından yorum olarak eklenen, yüklenen, yaratılan her türlü Üye İçerikleri’nin doğruluğu, güncelliği ve yürürlükteki mevzuata uygun olup olmadığı tamamen Üye’nin sorumluluğundadır, AJANSSPOR’un bu sorumluluk nedeni ile uğrayacağı her türlü zarar için Üye’ye ferileri ile birlikte rücu hakkı saklıdır.
5.9. Üye, AJANSSPOR Platformları’na yorum olarak eklediği, yüklediği, yarattığı her türlü Üye İçerikleri’nde 3. kişilerin kişilik ve fikri mülkiyet haklarına zarar verecek, karalayıcı, aldatıcı unsurlar, pornografik, ahlaka aykırı fotoğraflar, hakaret, şiddet, ırkçılık, ayrımcılık ve yasadışılık unsuru bulunmayacağını, AJANSSPOR’dan önceden herhangi bir yazılı onay ve/veya AJANSSPOR ile herhangi bir anlaşma sağlamadan Üye İçerikleri vasıtasıyla reklam oluşturmayacağını, örtülü reklam niteliğinde olabilecek Üye İçerikleri ile spam içerikler üretmeyeceğini taahhüt etmiştir. Aksi halde; tüm hukuki ve cezai sorumluluk Üye’ye ait olacaktır. Yine bu taahhüde aykırı davranan Üyeler, AJANSSPOR tarafından derhal üyelikten çıkarılabilecektir. Üyeliğin Üye’den kaynaklanan sebeplerle AJANSSPOR tarafından sona erdirilmesi halinde AJANSSPOR’un uğradığı ya da uğraması muhtemel tüm doğrudan ve dolaylı zararları ilgili Üye’den talep etme hakkı saklıdır.
5.10. AJANSSPOR, herhangi bir İçerik’i veya Üye İçerikleri’ni, herhangi bir zamanda Üye’ye haber vermeksizin ve herhangi bir sebep göstermeksizin kendi takdiri doğrultusunda, kaldırma, düzenleme, değiştirme, engelleme, AJANSSPOR Platformları’nın yapısını, tasarımını, kapsamını Üye’ye bildirim gerekmeksizin tek taraflı olarak kısmen veya tamamen değiştirme veya sonlandırma veya askıya alma, belli bölümlerini, kategorilerini veya özelliklerini ücretli hale getirme ve bu ücretleri tek taraflı olarak belirleme hakkına sahiptir. AJANSSPOR ayrıca; Üye İçerikleri’ni herhangi bir sebep göstermeksizin reddetme, geciktirme veya yayınlamama haklarına sahiptir. Böyle bir durumda Üye, AJANSSPOR’dan hiçbir talepte bulunmayacağını gayrikabili rücu biçimde kabul etmiştir.
5.11. Üye; AJANSSPOR Platformları’na ve İçerikler’e elektronik ortamda erişecek olup, Üye’ye fiziksel ortamda bir teslimat yapılmayacaktır.
MADDE 6-ÜYE’NİN HAK VE YÜKÜMLÜLÜKLERİ
6.1. Üyelik başvurusunda bulunan kişi, fiil ehliyetine sahip olduğunu, akıl sağlığının yerinde olduğunu ve eylemlerinin sorumluluğunu taşımakla yükümlü olduğunu peşinen kabul eder. 6.2. Üye, üyelik başvurusu sırasında gerekli olan bilgileri Kayıt Formu’na girmekle yükümlüdür. Üye, üyelik başlangıcında bildirdiği tüm bilgilerin doğru, tam ve güncel olmasından sorumludur.
6.3. Üye; kendisine ait Kullanıcı Adı ve Şifre’nin ve bunlarla ilişkilendirilmiş olan Hesap’ın güvenliğinden kendisi sorumludur. AJANSSPOR Üyeliği süresince, Üye tarafından kullanılacak olan Kullanıcı Adı ve Şifre koruma mükellefiyeti ve Kullanıcı Adı ve Şifre kullanımına dayanan her türlü sorumluluk Üye’ye ait olacaktır. Üye, kendisine ait Kullanıcı Adı ve Şifre’sini gizli tutmakla yükümlü olduğunu bu gizliliğin gerektirdiği tüm tedbirleri almayı kabul ve taahhüt eder. Üye, Üyelik için sağladığı bilgilerin, şifre unutma gibi, gerekli olduğu durumlarda bilginin hatalı veya noksan olmasından doğacak zararlardan dolayı da sorumluluğun kendisine ait olacağını kabul ve taahhüt eder. Üye, kendisine ait Kullanıcı Adı ve Şifre’nin herhangi bir üçüncü şahıs tarafından kullanılmasının sonuçlarından tamamıyla kendisinin sorumlu olduğunu, bu işlemlerin kendisi tarafından yapılmadığı yolundaki itiraz ve def'i haklarından peşinen feragat ettiğini bu gibi usulsüz kullanımları yapan kişilerin kimliklerini AJANSSPOR’un tespit etmekle yükümlü olmadığını, usulsüz kullanımlardan dolayı AJANSSPOR’un hiçbir mali, hukuki ve cezai yükümlülüğünün bulunmadığını kabul ve taahhüt eder. Üyelik, bu Sözleşme’de belirtilen tüm Üyelik koşulları yerine getirildiği ve Üyelik işlemleri tamamlandıktan sonraki süre boyunca Üye tarafından korunduğu takdirde devam edecektir.
6.4. AJANSSPOR Platformları’nın kullanımında, herhangi bir bilgisayar şebekesinin güvenliğini ihlal etmek, güvenlik şifreleme kodlarını kırmak, tehdit edici veya müstehcenlik içeren yasa dışı materyalleri transfer etmek veya yüklemek ya da herhangi bir yasa dışı aktiviteyle meşgul olmak kesinlikle yasaktır. Üye; Maillist, Listserv, veya otomatik çağrı cevaplayıcısının hiçbir cinsini veya 'spam'i (mesaj sağanağını), Üye’nin oturum açmadığı esnada çalıştırılan ya da harekete geçirilen hiçbir yöntemi, AJANSSPOR Platformları’na yükleyemez, diğer Ziyaretçi veya Üyeler’in AJANSSPOR Platformları’nı kullanmasını engelleyemez, zorlaştıramaz veya veritabanlarını ya da sunucuları bozacak veya işlemez hale getirecek eylemlerde bulunamaz, herhangi bir yazılım veya donanıma zarar veremez, virüs içeren yazılım veya başka bir bilgisayar kodu, dosya oluşturamaz, yetkisi olmayan herhangi bir sisteme, dataya, şifreye ulaşmaya çalışamaz, direkt veya dolaylı olarak, verilen hizmetlerdeki algoritmaları ve kodları deşifre edecek, işlevlerini bozacak davranışlarda bulunamaz, İçerikler’i değiştiremez, dönüştüremez, çeviremez, alıntı göstermeksizin başka sitelerde yayınlayamaz, kanunen yasak bilgiler içeren mesajlar, zincir posta, yazılım virüsü gibi 3. kişilere zarar verebilecek içerikleri dağıtamaz, diğer Ziyaretçi veya Üye’lerin bilgisayarındaki bilgilere ya da yazılıma zarar verecek program ve/veya bilgiler gönderemez, bunun gibi hukuka aykırı ve AJANSSPOR’a veya AJANSSPOR Platformları’na zarar verecek davranışlarda bulunamaz. Aksi halde; AJANSSPOR tarafından tüm hukuki ve cezai işlemleri başlatma ve taleplerde bulunma hakkı saklıdır.
6.5. Üye, AJANSSPOR Platformları’nın işleyişinin kusurdan ari ve kesintisiz olmadığını ve zaman zaman teknik aksaklıklar veya erişim engelleriyle karşılaşabileceğini bildiğini kabul, beyan ve taahhüt eder.
6.6. Üye, işbu Sözleşme kapsamında AJANSSPOR Platformları’nı kullanmakla, AJANSSPOR Platformları’ndaki hiçbir hakkın kendisine verilmediğini kabul, beyan ve taahhüt eder. Üye AJANSSPOR Platformları’nı ve İçerikler’i, 5237 sayılı Türk Ceza Kanunu, 5846 sayılı Fikir ve Sanat Eserleri Kanunu dahil ve bunlarla sınırlı olmaksızın yürürlükteki mevzuata aykırı olarak veya hak ve/veya eser sahipleri olan kişilere ve her türlü üçüncü kişiye maddi veya manevi olarak zarar verecek şekilde kullanmayacağını, bu maddede sayılanlarla sınırlı olmaksızın İçerikler’i değiştirmeyeceğini, çoğaltmayacağını, işletmeyeceğini, pazarlamayacağını, kiralamayacağını, herhangi bir şekilde üçüncü kişilerin erişimine/kullanımına sunmayacağını ve/veya üçüncü kişilere iletmeyeceğini, başka bir mecrada teşhir etmeyeceğini kabul, beyan ve taahhüt eder. Üye, işbu maddeye aykırı davranması halinde işbu Sözleşme'nin AJANSSPOR tarafından tek taraflı olarak derhal, tazminatsız şekilde feshedilebileceğini ve ilgili ihlal sebebiyle hukuki ve cezai tüm sorumluluğun tarafına ait olacağını; AJANSSPOR’un menfi-müspet her türlü zararını ayrıca herhangi bir ihbar veya ihtara gerek kalmaksızın, AJANSSPOR’un ilk yazılı talebi üzerine derhal, nakden ve defaten tazmin edeceğini kabul, beyan ve taahhüt eder.
6.7. Üye, AJANSSPOR’un ağır ihmal veya kusuru dışında, kendisinden kaynaklanan her türlü (AJANSSPOR Platformları’na erişim sağlayacağı mobil cihaz, bilgisayar veya diğer erişim cihazlarının yaratacağı arızalar, bilgi ve veri kaybı vb.) kayıptan dolayı AJANSSPOR’un herhangi bir sorumluluğunun olmadığını; AJANSSPOR Platformları’na erişmekte olduğu mobil cihaz vb. elektronik cihazların, kablolu, kablosuz her türlü internet erişiminin, bağlantılarının güvenliğini de sağlamak zorunda olduğunu; bu hususta gereken tedbirleri almayı kabul, beyan ve taahhüt eder.
6.8. Üye, AJANSSPOR’un ağır ihmal veya kusuru dışında, AJANSSPOR Platformları sebebiyle AJANSSPOR Platformları’na eriştiği cihaza herhangi bir zarar geldiğini; İçerikler’den dolayı virüs, truva atı v.b gibi kötü amaçlı kodların cihazlarına bulaştığını öne sürerek AJANSSPOR’dan herhangi bir tazminat talebinde veya diğer herhangi bir talepte bulunamaz.
6.9. Üye, Hesap aracılığı ile gerçekleştirdiği tüm eylemlerden ve yorum, alıntı vb olarak yüklediği veya eklediği tüm içeriklerden yalnızca kendisi sorumludur. Bu sorumluluk üyeliği sona erse dahi devam etmektedir.
6.10. Üye, aşağıda listelenen Topluluk Kurallarına uymayı kabul, beyan ve taahhüt eder. Bu kuralları ihlal edenler hakkında soruşturma yapmak ve bunları ihlal eden kişilerin üyeliklerini silmek, bu tarz uygunsuz iletişimi hizmetten kaldırmak ve bu kişilere karşı her türlü gerekli yasal tedbirleri almak ve başlatmak konusunda AJANSSPOR yetkilidir.
a) Üye saygılı olmak zorundadır. Rahatsızlık vermek veya başka birisinin tacizine yandaş olmak, onu savunmak yasaktır.
b) Yorumlarda, ırkçı, cinsiyetçi, müstehcen, iftira edici, hakaret ve şiddet içeren, kişileri veya belirli grupları nefrete teşvik edici, küçük düşürücü ifadelere yer verilmemelidir, bu tür yorumlara ve yargı mercilerine saygısızlık içeren veya içerme ihtimali olan yorumlara, terörü savunan veya teşvik eden içeriklere müsamaha gösterilmeyecektir. AJANSSPOR bu tür yorum ve içerikleri yayınlamama hakkını saklı tutmaktadır. Bir Üye’nin yanlış ve yanıltıcı bulduğu bilgileri veya yasa dışı aktiviteleri veya tehdit edici davranışları yapmak ve ileri safhaya taşımak yasaktır.
c) Yapılan yorumlarda mümkün olduğu kadar yazım ve imla kurallarına önem verilmeli, İçerikler’den sapmayan yorumlar yapılmalıdır. AJANSSPOR yorumlardaki imla hatalarını, anlaşılamayan yorumları düzeltme ve silme, yine İçerikler ile ilgili olmayan yorumları da silme hakkını saklı tutar.
d) Yasadışı bir çalışmayı veya başka birisine ait bir çalışmayı izinsiz olarak kullanmak, kısıtlı veya parola korumalı sayfalar yayınlamak ya da başka bir sayfadan link içermeyen veya erişilemeyen gizli sayfa veya resimler kullanmak, telif hakkı ihlali içeren yorumlarda bulunmak yasaktır.
e) Yasadışı silah yapımı veya kullanımı, uyuşturucu, alkol, tütün ürünlerinin özendirilmesi ve kullanımı gibi veya her türlü yasadışı aktiviteler hakkında bilgilendirici veya özendirici içerik kullanmak, birisinin özel hayatını ihlal etme ya da bilgisayar virüsleri sağlama veya oluşturma, üçüncü kişilerin yahut başka bir Üye’nin kişisel bilgilerini ifşa etmek, bu bilgileri kendi çıkarları için kullanmak, tehdit etmek, ırkçılığı, bağnazlığı, herhangi bir birey ya da gruba karşı nefreti ve fiziksel zarar verilmesini teşvik eden içerik yayınlamak, insanları şiddete yönlendirmek adına başkalarını kışkırtan davranışlarda bulmak yasaktır. Bu kuralı ihlal eden Üye’nin, hesaplarının kapatılacaktır.
f) Üye’nin kendi güvenlikleri için kişisel ve özel bilgilerini paylaşmaması, yürürlükteki mevzuat hükümlerine uyması esastır.
MADDE 7- ÜYEYE AİT KİŞİSEL BİLGİLER VE TİCARİ İLETİLER
7.1. Üye’nin, Üyelik başlangıcında Üyelik Sözleşmesi kapsamında vermiş olduğu kişisel verilerin işlenmesine ve aktarılmasına ilişkin hususlar, KVKK ve ilgili mevzuata uygun olarak, işbu Sözleşme’nin ekinde bulunan EK:1 Kişisel Verilerin Korunması ve İşlenmesi Aydınlatma Metni, EK.2: Kişisel Verilerin İşlenmesi Kapsamında Açık Rıza Metni‘nde ve Çerezlere ilişkin hususlar EK.3: Çerezler Hakkında Bilgilendirme Metni’nde düzenlenmiştir.
7.2 Üye’ye, ticari elektronik ileti gönderiminin yapılması hususu işbu Sözleşme ekinde bulunan EK.4: Ticari İleti Onay Metni’nde düzenlenmiştir . AJANSSPOR, tarafından gönderilecek ticari elektronik iletiler Üye’ye push/web push (anlık) bildirim ile iletilebilecektir. Üye, AJANSSPOR tarafından kendisine reklam, pazarlama vb. konularla ilgili gönderilecek her türlü ticari elektronik iletinin gönderimini sona erdirmek için, AJANSSPOR Platformları’ndaki Hesabına giriş yaparak, Hesabım bölümünden “Ticari İleti Almak İstiyorum” seçimini kaldırabilir. Üye, istediği zaman AJANSSPOR Platformları’nda bulunan Hesabına giriş yaparak, Hesabım bölümünden “Ticari İleti Almak İstiyorum” seçeneğini seçerek, reklam, pazarlama vb. konularla ilgili gönderilecek her türlü ticari elektronik ileti gönderimini almayı seçebilir.
7.3. AJANSSPOR, Üye’nin AJANSSPOR’a göndereceği e-posta, faks, mektup vb. kapsamında Üye’nin belirttiği Üye’ye ait kişisel bilgilerin güvenliğinin AJANSSPOR’dan kaynaklanmayan nedenlerle ihlal edilmeyeceğini hiçbir koşulda garanti edemez. Üye bu bilgilerinin ve iletişim kanallarının güvenliğinden kendisi sorumludur. Aynı zaman Üye, kendi güvenliği açısından kişisel ve özel bilgilerini AJANSSPOR Platformları’nda içeriklere yönelik yaptığı yorumlarda paylaşmaması gerektiğini bilmekle ve buna uygun hareket etmekle yükümlüdür.
7.4. Üye, AJANSSPOR Platformları’nda kendi rızası ile kamuya açık şekilde oluşturduğu her türlü kişisel bilginin başkalarının görüntüleyebileceğini; yorum olarak ürettiği içeriklerin AJANSSPOR Platformları’nda herkesin görebileceği şekilde yayımlanacağını kabul eder.
MADDE 8- SÖZLEŞMENİN SÜRESİ VE FESİH
8.1. İşbu Sözleşme belirsiz sürelidir ve Taraflar’dan biri tarafından işbu madde uyarınca feshedilene kadar yürürlükte kalacaktır.
8.2. Üye istediği an AJANSSPOR Üyeliğinden kendi talebi ile çıkma hakkına sahiptir. Üye, konuya ilişkin yazılı talebini bilgi@ajansspor.com adresine e-posta yoluyla AJANSSPOR’a iletmek kaydı ile Üyelik hesabının sonlandırılmasını isteyebilir.
8.3. AJANSSPOR, Üye’nin bu Sözleşme’ye aykırı davranması, AJANSSPOR Platformları’nı kullanırken ya da AJANSSPOR’a üye olurken verdiği bilgilerin hatalı veya gerçeğe aykırı olması, AJANSSPOR Topluluk Kurallarına aykırı davranması, AJANSSPOR’da verilen hizmetleri kötü niyetli veya hukuka, ahlaka, 3.kişilerin haklarına aykırı şekilde kullanması veya AJANSSPOR’un gerekli görmesi halinde üyeliğini gerekçe göstermeksizin sona erdirebilir, Sözleşme’yi feshedebilir. Bu durumlarda AJANSSPOR’un ayrıca hukuki yollara başvurma hakkı saklıdır.
8.4. Üye’nin üyeliğinin sonlanması halinde; Üye, AJANSSPOR'dan herhangi bir hak ve/veya tazminat talebinde bulunmayacağını peşinen kabul, beyan ve taahhüt eder.
MADDE 9- KAMPANYA, ANKET, OYUN VE PROMOSYONLAR
Üye, AJANSSPOR tarafından sunulan kampanya, anket, oyun ve promosyonlardan AJANSSPOR tarafından belirlenen kullanım/yararlanma koşulları çerçevesinde yararlanabileceğini peşinen beyan, kabul ve taahhüt eder. AJANSSPOR, kampanya, oyun, anket ve promosyon uygulama ve kullanım genel şartlarını her zaman tek taraflı belirleme ve bunlarda tek taraflı olarak değişiklik yapma hakkını saklı tutar. Kampanya, anket, oyun ve promosyonlara katılım Üye’nin inisiyatifindedir. Üye’nin, kampanya, oyun, anket ve promosyonlara katılması halinde elde edilen bilgiler Ajansspor tarafından işlenecektir. AJANSSPOR, kampanya, oyun ve promosyon veya genel uygulamalarında Üye’nin Oyun oynama ve davranış analizlerini dikkate alarak Üye’ye farklı teklifler sunma, uyguladığı bağlılık programlarında bu analizleri belirleyeceği zamanlarda gerçekleştirme ve/veya değişiklik yapma hakkına sahiptir. Tüm bu uygulamalar yasal sürler bulunması halinde bu süreler, diğer hallerde AJANSSPOR’un belirleyeceği süreler içerisinde geçerlidir.
MADDE 10- AJANSSPOR’UN KAYITLARININ GEÇERLİLİĞİ
Üye, AJANSSPOR kayıtlarının geçerliliğini peşinen kabul ettiğini, AJANSPOR ile arasında çıkacak her türlü ihtilafta AJANSSPOR’un her türlü kayıt, belge ve defterleri ile her türlü bilgisayartek ve kesin delil teşkil edeceğini ve bağlayıcı olacağını, bu maddenin HMK 193. madde kapsamında bir delil sözleşmesi olduğunu kabul eder.
MADDE 11- SÖZLEŞMENİN DEVRİ
Üye, işbu Sözleşme’den doğan hak ve yükümlülüklerini hiçbir şekilde üçüncü şahıslara devir ve temlik edemez.
MADDE 12- UYUŞMAZLIKLARI ÇÖZÜMÜ
Taraflar Sözleşme’nin tatbik ve tefsirinden doğacak ihtilafların çözümünde Türk Hukuku'nun uygulanmasını, her türlü hukuki ilişki için ifa yeri ve yetkili yargı merciinin İstanbul (Çağlayan) Mahkemeleri ve İcra Daireleri olmasını kabul ve beyan etmişlerdir.
MADDE 13- MUHTELİF HÜKÜMLER
13.1. İşbu Sözleşme uyarınca Üye’ye sunulan hizmetlerin kapsamı, AJANSSPOR tarafından herhangi bir zamanda ve tek taraflı olarak genişletilebilir yahut daraltılabilir veya hizmetler durdurulabilir. AJANSSPOR bu Sözleşme’de yer alan maddelerde tek taraflı olarak değişiklik yapma hakkına sahiptir. Bu nedenle Üye, işbu Sözleşme ile kendisine sunulan hizmet kapsamının bir taahhüt olmadığını ve değişebileceğini peşinen kabul ve taahhüt eder.
13.2. AJANSSPOR’un, Üye’nin işbu Sözleşme’yi ihlalinde veya edimlerinden birini yerine getirmekte temerrüdünde herhangi bir itirazda bulunmamış olması, sürekli bir feragat olarak yorumlanamaz.
13.3. İşbu Sözleşme, metninde değinilmiş olan diğer belgeler ve EKLER ile birlikte Sözleşme’nin bütününü teşkil eder ve Taraflar arasında önceden işbu Sözleşme konusuyla ilgili olarak yapılmış olan tüm yazılı ya da sözlü her türlü mutabakatın yerine geçer.
13.4. İşbu Sözleşme’nin herhangi bir maddesinin kısmen ya da tamamen yetkili mahkeme kararı ile hükümsüz veya geçersiz kılınması halinde, Sözleşme’nin geri kalan tüm hükümleri yürürlükte kalmaya ve uygulanmaya devam edecektir. Böyle bir durumun ortaya çıkması halinde, hangi nedenle olursa olsun geçersiz kalan hükmün ya da maddelerin geri kalan bölümleri yasa ya da mahkeme kararlarını izin vereceği ölçülerde geçerli ve uygulanabilir olmaya devam edeceklerdir.
İşbu Sözleşme 13 (onüç) ana maddeden ibarettir. Üye bu Sözleşme’nin tamamını okuduğunu, anladığını, içeriğindeki tüm maddeleri kayıtsız şartsız kabul ettiğini ve onayladığını peşinen kabul ve taahhüt eder. İşbu Sözleşme Taraflar arasında uygulanacak olup, 1 (bir) nüshası işbu Sözleşme’nin kurulması üzerine elektronik posta yoluyla Üye’ye gönderilecektir.
EK.1: Kişisel Verilerin Korunması ve İşlenmesi Aydınlatma Metni
EK.2: Kişisel Verilerin İşlenmesi Kapsamında Açık Rıza Metni
EK.3: Çerezler Hakkında Bilgilendirme
EK.4: Ticari İleti Onay Metni
Arkadaş Radyo ve Televizyon Yayın Yapım ve Tanıtım A.Ş.
ANONİM ŞİRKETİ
KİŞİSEL VERİLERİN KORUNMASI VE İŞLENMESİ
AYDINLATMA METNİ
1. VERİ SORUMLUSU
6698 sayılı Kişisel Verilerin Korunması Kanunu (“KVKK”) uyarınca, kişisel verileriniz; Veri Sorumlusu olarak Saran Bilgi Sistemleri Hizmetleri Yatırım ve Yönetim A.Ş. (“AJANSSPOR” ve/veya “Şirket” ve/veya “Veri Sorumlusu”) tarafından aşağıda açıklanan kapsamda işlenebilecektir.
AJANSSPOR’a vermiş olduğunuz kişisel bilgilerinizin aşağıda açıklanan şart ve sınırlara bağlı kalınarak elde edilebileceğini, kaydedilebileceğini, ilgili mevzuatta öngörülen veya işlendikleri amaç için gerekli olan süre kadar muhafaza edilebileceğini ve depolanabileceğini, yeniden düzenlenebileceğini, mevzuatın izin verdiği durumlarda ve ölçüde üçüncü kişilere açıklanabileceğini, devredilebileceğini ve aktarabileceğini, sınıflandırabileceğini ve kullanılmasının engellenebileceğini belirtmek isteriz.
İşbu Saran Bilgi Sistemleri Hizmetleri Yatırım ve Yönetim Anonim Şirketi Kişisel Verilerin Korunması ve İşlenmesi Aydınlatma Metni (“Aydınlatma Metni”) KVKK kapsamında Veri Sorumlusu olarak aydınlatma yükümlülüğümüzün yerine getirilmesi ve kişisel verilerinize ilişkin bilgilendirilmeniz amacıyla tarafımızca hazırlanmıştır.
AJANSSPOR’a ait www.ajansspor.com alan adlı web sitesi (“AJANSSPOR Web Sitesi”) ve AJANSSPOR’a ait “Ajansspor” isimli dijital uygulama (“AJANSSPOR Uygulaması”) içerisinde başka siteler ile link bağlantıları bulunabilir, işbirliği içerisinde bulunduğumuz şirketlerin, iş ortaklarının, üçüncü partilerin reklamlarına yer verilebilir, kullanıcılar bu reklamlar aracılığıyla reklam veren ve/veya anlaşmalı olduğumuz şirketlerin, iş ortaklarımızın, işbirlikçilerimizin, üçüncü partilerin sitesine yönlendirilebilir. Bu haliyle AJANSSPOR Web Sitesi’nde ve AJANSSPOR Uygulaması içerisinde yer alan gizlilik ilkelerinin sadece söz konusu AJANSSPOR Web Sitesi ve AJANSSPOR Uygulaması için uygulanacağını, link bağlantısı bulunan diğer sitelerle ilgili olarak ve diğer sitelerin gizlilik uygulama ve politikalarına ya da barındırdıkları içeriklere ilişkin herhangi bir sorumluluğumuzun bulunmadığını hatırlatmak isteriz.
Belirtmek isteriz ki, bilgilerinizin anonimleştirilmek şartıyla tarafımızca kullanılması veya üçüncü kişilerle paylaşılması da mümkündür. AJANSSPOR üyeliği, AJANSSPOR Web Sitesi’nde ve AJANSSPOR Uygulaması’nda gizlenemediğinden, üye olduğunuza dair kullanıcı adınızın bilgisi kamuya açık olacaktır.
2. KİŞİSEL VERİLERİN İŞLENME AMAÇLARI
AJANSSPOR Web Sitesi üzerinden ve/veya AJANSSPOR Uygulaması üzerinden erişeceğiniz üyelik platformuna üye olmanız halinde; üyeliğin başlangıcında AJANSSPOR Web Sitesi’nde yer alan Üyelik Sözleşmesi kapsamında vermiş olduğunuz kullanıcı adı ve iletişim bilgisi (e-posta adresi);
amacıyla bağlantılı, sınırlı ve ölçülü olacak şekilde işlenmektedir.
Yine söz konusu kişisel verilerinizin burada sayılan amaçların yerine getirilmesi için gerekli olan süreler dahilinde KVKK’nın 5. ve 6. maddelerine uygun olarak AJANSSPOR veri tabanında dijital veya fiziki ortamda kayıt altına alınabileceğini, depolanabileceği, kaydedilebileceği ve muhafaza edilebileceğini belirtmek isteriz.
İşbu kişisel verilerinizle birlikte işlem güvenliği (IP adresi bilgileri, AJANSSPOR Web Sitesi/ AJANSSPOR Uygulaması giriş çıkış bilgileri, standart web günlüğü bilgileri), pazarlama satış bilgisi (anket, kampanya, promosyon çalışmasıyla elde edilen bilgiler), sunduğumuz ürün ve hizmetlerin kullanışı sırasında elde edilen hesap hareketleriniz (favori sporlar, ligler takımlar, etkinlikler ve/veya spor taraftarlarını ilgilendiren konularla ilgili sağladığınız bilgiler, takım tercihleriniz, isteyerek paylaştığınız veriler, yorumlar, görüntülediğiniz içerik türü, ne sıklıkla, hangi saatlerde görüntülediğinize yönelik veriler), AJANSSPOR ile olan yazışma kayıtlarınız gibi kişisel verileriniz de yukarıdaki amaçlara ek olarak;
amacıyla bağlantılı, sınırlı ve ölçülü olacak şekilde işlenmektedir.
Yine söz konusu verilerinizin burada sayılan amaçların yerine getirilmesi için gerekli olan süreler dahilinde KVKK’nın 5. ve 6. maddelerine uygun olarak AJANSSPOR veri tabanında dijital veya fiziki ortamda kayıt altına alınabileceğini, depolanabileceği, kaydedilebileceği ve muhafaza edilebileceğini de belirtmek isteriz.
AJANSSPOR’a üye olmadan ziyaretçi olarak gerek AJANSSPOR Web Sitesi’ne ve/veya AJANSSPOR Uygulaması’na erişim sağladığınızda işbu servislerden sınırlı bir biçimde yararlanmakla birlikte, erişimlerinize ilişkin Log kayıtlarınız, trafik veriniz 5651 sayılı Kanun ve işbu 5651 sayılı Kanun’a göre düzenlenmiş olan mevzuatın amir hükümleri gereği, AJANSSPOR’un, tarafınızın ve diğer kişilerin güvenliğini sağlamaya yönelik olarak menfaatlerini korumak amacıyla işlenmektedir.
AJANSSPOR’a vermiş olduğunuz kişisel bilgilerinizin doğru ve güncel bilgiler olduğu farz edilerek, üyeliğiniz ve sistemlere girişleriniz gerçekleştirilmektedir. AJANSSPOR’a iletmiş olduğunuz bilgilerin doğruluğunu ve güncelliğini garanti altına alabilmek için her türlü araştırma ve sorgulama hakkımızı saklı tuttuğumuzu belirtmek isteriz.
3. İŞLENEN KİŞİSEL VERİLERİN KİMLERE VE HANGİ AMAÇLA AKTARILABİLECEĞİ
Toplanan veya veri sahibi olarak tarafınızın temin ettiği kişisel verileriniz;
• AJANSSPOR’un grup şirketlerine; iş ortaklığının kurulma amaçlarının yerine getirilmesini temin etmek, kullanıcı olarak tarafınız ile yapılan Üyelik Sözleşmesi’nin gereklerinin yerine getirilmesi ve bunların uygulamaya konulmaları amacıyla,
• AJANSSSPOR’un hissedarlarına; hukuka uygun olarak AJANSSPOR’un hukuki, etkinlik yönetimi ve kurumsal iletişim süreçleri kapsamında yürüttüğü faaliyetlerin amaçlarıyla,
• AJANSSPOR’un birinci, ikinci ve üçüncü derece yöneticilerine; hukuka uygun olarakAJANSSPOR’un ticari faaliyetlerine ilişkin stratejilerin tasarlanması, en üst düzeyde yönetiminin sağlanması ve denetim amaçlarıyla,
• Hukuken yetkili kamu kurum ve kuruluşlarına; yasal yükümlülükler gereği kimliğinizin doğrulanması, dolandırıcılığın, suç gelirlerinin aklanması suçunun önlenmesi gibi ilgili yetkili kamu kurum kuruluşlarının hukuki yetkisi dahilinde talep ettiği amaçlarla,
• Hukuken yetkili özel hukuk kişilerine; ilgili özel hukuk kişilerinin hukuki yetkisi dahilinde talep ettiği amaçla,
sınırlı olarak, KVKK’nın 8. maddelerine uygun olarak yukarıda sayılan amaçlar doğrultusunda yurt içinde aktarılabilecektir.
Bu bilgilere ek olarak AJANSSPOR tarafından temin edilen ve kullanıcı olarak tarafınızca aktarılan bilgiler veya AJANSSPOR Web Sitesi veya AJANSSPOR Uygulaması üzerinden yapılan işlemler sırasında ortaya koyulan ilgili bilgiler AJANSSPOR’un işbirliği içinde olduğu kişi ve kurumlar tarafından kullanıcının kimliği hiçbir şekilde açığa çıkarılmaksızın, sadece çeşitli istatistiki değerlendirmeler, izinli iletişim ve pazarlama, veri tabanı oluşturma çabaları ve pazar araştırmaları yapma gibi durumlar dahilinde kullanılabilmek adına aktarılmaktadır. AJANSSPOR, yukarıda belirtilen haller dışında kişisel bilgilerinizi işbirliği içinde olmadığı şirketlere ve üçüncü kişilere hiçbir şekilde paylaşmamakta, aktarmamakta ve açıklamamaktadır.
4. KİŞİSEL VERİ TOPLAMANIN YÖNTEMİ VE HUKUKİ SEBEBİ
Kişisel verileriniz, her türlü sözlü, yazılı ya da elektronik ortamda, işbu Aydınlatma Metni’nde belirtilen amaçlar doğrultusunda, tarafınıza sunduğumuz hizmetlerin belirlenen yasal çerçevede sunulabilmesi ve bu kapsamda AJANSSPOR’un Üyelik Sözleşmesi ve yasadan doğan mesuliyetlerini eksiksiz ve doğru bir şekilde yerine getirebilmesi gayesi ile aşağıda belirtilen şekillerde toplanmaktadır.
Kişisel verileriniz, tamamen veya kısmen otomatik yollarla ya da veri kayıt sisteminin parçası olmak kaydıyla otomatik olmayan yöntemler ile; üyeliğiniz sırasında manuel olarak doldurduğunuz üyelik veya bilgi formları ve/veya Üyelik Sözleşmesi; AJANSSPOR Web Sitesi ve AJANSSPOR Uygulaması’nda yaptığınız hareketler; duyuru ve iletişim sağlamak için onay ve iletişim bilgilerinizi almak için oluşturulan veya ürün ya da hizmetlerimize ilişkin memnuniyet veya şikâyetlerinizi toplamak için oluşturulan sistemler üzerinden; web, mobil ve benzeri bir uygulama aracılığıyla ya da basılı olarak tarafınıza sunulan duyuru, elektronik bültene üye olunması, iletişim, şikayet, çekilişe, promosyona, elektronik haber bültenine katılım, ön kayıt, kampanya katılım formları, yüz yüze, telefonla veya başkaca bir iletişim aracı kullanarak gerçekleştirilen anket veya iletişimler; sosyal ağlar; cep telefonu, tablet veya sair mobil cihaz uygulamaları; üyelik ve abonelik başta olmak üzere AJANSSPOR ile imzalamış olduğunuz sözleşmeler ile AJANSSPOR’a göndermiş olduğunuz elektronik postalar, faks ve mektuplar, AJANSSPOR ile yapılan yazılı veya sözlü iletişim kanalları aracılığıyla sözlü, yazılı veya elektronik ortamda toplanmaktadır.
Kişisel verilerinizi toplamanın hukuki sebebi ise KVKK’nın 5. ve 6. maddelerinde belirtilen, “a) Kanunlarda açıkça öngörülmesi, e) Bir sözleşmenin kurulması veya ifasıyla doğrudan doğruya ilgili olması kaydıyla, sözleşmenin taraflarına ait kişisel verilerin işlenmesinin gerekli olması, ç) Veri sorumlusunun hukuki yükümlülüğünü yerine getirebilmesi için zorunlu olması, d) İlgili kişinin kendisi tarafından alenileştirilmiş olması, e) Bir hakkın tesisi, kullanılması veya korunması için veri işlemenin zorunlu olması’’ şartları ve amaçlarıdır. Kişisel verilerinizin bu şartlar dışında işlenmesi hali ise, işbu Aydınlatma Metni’nin (2) ve (3) numaralı maddelerinde belirtilen amaçlarla bağlantılı, sınırlı ve ölçülü olarak açık rızanız doğrultusunda gerçekleştirilecektir.
5. KİŞİSEL VERİ SAHİBİNİN KVKK’NIN 11. MADDESİNDE SAYILAN HAKLARI
KVKK’nın 11. maddesi uyarınca, tarafımıza başvurarak kendinizle ilgili;
a) Kişisel verilerinin işlenip işlenmediğini öğrenme,
b) Kişisel verileri işlenmişse buna ilişkin bilgi talep etme,
c) Kişisel verilerin işlenme amacını ve bunların amacına uygun kullanılıp kullanılmadığını öğrenme,
ç) Yurt içinde veya yurt dışında kişisel verilerin aktarıldığı üçüncü kişileri bilme,
d) Kişisel verilerin eksik veya yanlış işlenmiş olması hâlinde bunların düzeltilmesini isteme,
e) KVKK 7. maddede öngörülen şartlar çerçevesinde kişisel verilerin silinmesini veya yok edilmesini isteme,
f) KVKK’nın 11. maddesinin 1. fıkrasının (d) ve (e) bentleri uyarınca yapılan işlemlerin, kişisel verilerin aktarıldığı üçüncü kişilere bildirilmesini isteme,
g) İşlenen verilerin münhasıran otomatik sistemler vasıtasıyla analiz edilmesi suretiyle kişinin kendisi aleyhine bir sonucun ortaya çıkmasına itiraz etme,
ğ) Kişisel verilerin kanuna aykırı olarak işlenmesi sebebiyle zarara uğraması hâlinde zararın giderilmesini talep etme, haklarına sahipsiniz.
Yukarıda belirtilen haklarınızı kullanmak için kimliğinizi tespit edici belgeler ile kullanmayı talep ettiğiniz hakkınıza yönelik açıklamalarınızı içeren talebinizi; AJANSSPOR Web Sitesi ve AJANSSPOR Uygulaması içerisindeki başvuru formu nu doldurarak, formun ıslak imzalı bir nüshasını yukarıdaki PTT Evleri Mah. Hacı Osman Bayırı Cad. No:16, Sarıyer/İstanbul adresine kimliğinizi tespit edici belgeler ile bizzat elden veya noter kanalıyla; ya da tarafımıza daha önceden bildirmiş olduğunuz ve sistemimizde kayıtlı bulunan elektronik posta adresini kullanmak suretiyle saranbilgisistemleri@hs03.kep.tr kayıtlı elektronik posta adresimizden yazılı olarak ya da Kişisel Verileri Koruma Kurulu’nun (“Kurul”) belirlediği diğer yöntemlerle tarafımıza iletebilirsiniz.
Başvurunuzda aşağıdaki bilgilerin bulunması zorunluluğu mevcuttur.
a) Ad, soyad ve başvuru yazılı ise imza,
b) Türkiye Cumhuriyeti vatandaşları için T.C. kimlik numarası; yabancılar için uyruğu, pasaport numarası veya varsa kimlik numarası,
c) Tebligata esas yerleşim yeri veya iş yeri adresi,
ç) Varsa bildirime esas elektronik posta adresi, telefon ve faks numarası,
d) Talep konusu.
Kişisel veri sahipleri adına üçüncü kişilerin başvuru talebinde bulunabilmesi için veri sahibi tarafından başvuruda bulunacak kişi adına noter kanalıyla düzenlenmiş özel vekâletname bulunmalıdır.
Usule uygun olarak tarafımıza iletilen talebinize, talebin niteliğine göre en geç otuz (30) gün içinde ücretsiz olarak yanıt verilecektir. Ancak, Veri Sorumlusuna Başvuru Usul ve Esasları Hakkında Tebliğ’in (“Tebliğ”) 7. maddesinin 1. fıkrası gereği başvurunuza, tarafımızca yazılı olarak cevap verilmesi halinde, on (10) sayfaya kadar ücret alınmayacak, on (10) sayfanın üzerindeki her sayfa için ilgili Tebliğ’de belirtilen tutarda işlem ücreti alınacaktır. Yine aynı maddenin 2. fıkrası gereği tarafınıza cevabın CD, flash bellek gibi bir kayıt ortamında verilmesi halinde, kayıt ortamının maliyetini geçmeyecek ücret talep edilecektir.
Yapılan incelemenin neticesi (başvurunuzun kabul edilip edilmediği veya reddedildi ise sebebi) hakkında tarafınıza yazılı olarak veya elektronik ortamda gerekli bildirim yapılacaktır. Yaptığınız başvurunun KVKK’nın 28. maddesinde sayılan halleri kapsaması veya AJANSSPOR’un servislerinden yararlanmanız nedeniyle hizmetlerin ifası için KVKK’ya uygun olarak verilerinizin meşru amaçlar doğrultusunda işlenmesi gerekli ise, yapılan başvurunuzu red etme hakkımız saklıdır. KVKK’nın uygulanmasıyla ilgili talebinize konu hususta hatalı olmamız ve inceleme işleminin ücrete tabi olması halinde alınan ücret tarafınıza iade edilecektir.
AJANSSPOR, başvuruda bulunan kişinin kişisel veri sahibi olup olmadığını tespit etmek adına ilgili kişiden bilgi talep edebilir. AJANSSPOR, kişisel veri sahibinin başvurusunda yer alan hususları netleştirmek adına, kişisel veri sahibine başvurusu ile ilgili soru yöneltebilir.
Kişisel veri sahibi KVKK’nın 14. maddesi gereğince başvurunun reddedilmesi, verilen cevabın yetersiz bulunması veya süresinde başvuruya cevap verilmemesi hâllerinde; cevabı öğrendiği tarihten itibaren otuz (30) ve herhalde başvuru tarihinden itibaren altmış (60) gün içinde Kurul’a şikâyette bulunabilir.
Kişisel bilgilerinizi; AJANSSPOR Web Sitesi’ne üye girişi sonrasında ve/veya AJANSSPOR Uygulaması’nda üye girişi sonrasında “Hesabım” menüsünde yer alan “Kişisel Bilgilerim” sayfasından güncelleyebilirsiniz.
Eğer pazarlama ve reklam iletişimlerimizi göndermemizi durdurmamızı isterseniz, AJANSSPOR Web Sitesi AJANSSPOR ve/veya AJANSSPOR Uygulaması’ndaki hesabınıza giriş yaparak “Hesabım” bölümünden hesap ayarlarınızı değiştirebilirsiniz. Ayrıca, bizimle iletişim kanallarımızdan iletişime geçebilirsiniz.
6. KİŞİSEL BİLGİLERİN GÜVENLİĞİ, SAKLANMASI VE MUHAFAZASI
AJANSSPOR, KVKK, yasal mevzuat veya herhangi bir mahkeme veya yetkili kurum tarafından gelecek bir talep veya emir üzerine kişisel verilerinizin açıklanması veya kişisel verilerinize sizin tarafınızdan aleniyet sağlanması halleri saklı olmak üzere, AJANSSPOR’a temin etmiş olduğunuz kişisel verilerinizi gizli tutmayı, bunları ticari sır olarak saklamayı ve gizli bilgilerin gizliliğinin devam ettirilmesi hususunda verilerinizin yetkisiz üçüncü kişilere veya kamuya ifşasını önlemek için idari ve teknik tedbirler almaktadır. Kişisel bilgileriniz, halka açık olmayan özel bir elektronik ortam verisi içinde muhafaza edilmektedir. AJANSSPOR’a iletmiş olduğunuz bilgilerin kimlere ne amaçla aktarılacağı işbu Aydınlatma Metni’nin (3) numaralı maddesinde belirtilmiştir. İşbu Aydınlatma Metni uyarınca kişisel verilerinizi grup şirketleri ile paylaşmamız veya aktarmamız halinde de grup şirketleri yalnızca ilgili hizmetlerin yerine getirilmesi amacı ile sınırlı olarak kullanacak, bu kapsamda kişisel verilerinizi hizmetlerin ifasının yerine getirilmesi için bilmesi gerekli olanlar ve KVKK’da sayılan istisna haller, yasal mevzuat gereği açıklanması dışında üçüncü kişilere açıklayamayacaklardır.
AJANSSPOR, KVKK’nın 12. maddesine uygun olarak,
için bilgi güvenliği politikalarımızla mevcut bilgi ve veri değerlerinin ve risk durumunun analizini yaparak önleyici güvenlik önlemlerini almaktadır.
AJANSSPOR altyapısındaki tüm veri işlemleri, SSL teknolojisi kullanılarak şifrelenmektedir. Yine AJANSSPOR, kişisel verilerinizin hukuka uygun olarak toplanması, saklanması ve paylaşılmasını sağlamak ve gizliliğinizi korumak, kişisel verinin tamamının veya herhangi bir parçasının yetkisiz kullanımını veya üçüncü bir kişiye açıklanmasını önleme gereği olan gerekli tüm tedbirleri almak ve üzerine düşen tüm özeni tam olarak göstermek amacıyla mümkün olan en üst seviyede güvenlik tedbirlerini de almaktadır.
AJANSSPOR’un ve olması halinde işbirliği içinde bulunduğumuz firmaların güvenlik önlemlerine rağmen AJANSSPOR’un veya işbirliği yaptığımız gerçek veya tüzel kişilerin internet sitelerine veya sistemlerine yapılan siber saldırılar sonucunda verilerin zarar görmesi, değişmesi, kopyalanması vb. haller için sorumluluğumuz bulunmamaktadır. Ancak verileri kurtarmak adına yedekleme, arşivleme ve uygun saklama yöntemleri kullanabiliriz.
AJANSSPOR Web Sitesi’ne, AJANSSPOR Uygulaması’na ve/veya internete erişiminiz ile ilgili gerekli güvenlik önlemlerini (antispam, istenmeyen elektronik e-posta engeli, virüsten koruyucu vb.) almak sizin sorumluğunuza ait olup, bu önlemlerin alınmaması ve/veya alınmasının ihmal edilmesi nedeniyle verilerinize gelecek zararlardan ve/veya yetkisiz üçüncü kişilerce erişiminden herhangi bir mesuliyetimiz yoktur.
Yukarıda izah edilen ve kişisel bilgi sahalarını doldurarak kabul etmiş olduğunuz gizlilik ilkelerine, Üyelik Sözleşmesi’ne aykırı bir davranış olduğunu düşündüğünüz vakit, ihlali bilgi@ajansspor.com elektronik posta adresi aracılığı ve/veya AJANSSPOR Web Sitesi ve/veya AJANSSPOR Uygulaması içerisindeki iletişim formunu doldurarak bize bildirmeniz halinde; bildiriminiz AJANSSPOR tarafından hassasiyetle incelenecek ve çözüme ulaştırılmaya çalışılacaktır.
İşbu Aydınlatma Metni, dijital platformlara yeni özellikler eklendikçe veya kullanıcılarımızdan yeni öneriler geldikçe, yeniden düzenlenebilir ve güncellenebilir. Ancak bu durumda değişiklikleri AJANSSPOR Web Sitesi’nde ve/veya AJANSSPOR Uygulaması’nda yayınlayarak, tarafınıza bildirim yapılacaktır. Bu nedenle, AJANSSPOR Web Sitesi’ni ve/veya AJANSSPOR Uygulaması’nı her ziyaret edişinizde işbu Aydınlatma Metni’ni ve ilgili diğer KVKK metinlerini yeniden gözden geçirmenizi öneririz. İşbu KVKK metinlerinin hükümleri değiştiği takdirde, yayınlandıkları tarihte yürürlük kazanırlar.





